
Vorsorge beim Hund: Wie kann ich Gelenke & Co. gesund zu halten?
Gesunde Gelenke für glückliche Hunde: Ein Gespräch mit Dr. Susanne Wisniewski über die Vorbeugung von Schmerzen und Behandlungen.

Welcher Hundebesitzer hat noch keine Erfahrungen mit Hunden machen müssen, die Probleme oder Schmerzen mit dem Rücken, Knien, Hüfte oder Ellenbogen haben? Hat der Hund Schmerzen, leidet man einfach mit seinem Vierbeiner. Wir fragten die Fachtierärztin für Kleintiere, spezialisiert auf Orthopädie und Chirurgie, Dr. Susanne Wisniewski, Gründerin und Inhaberin des Kleintierzentrums Iffezheim und selbst Labrador-Züchterin, was man als Hundehalter vorbeugend tun kann und worauf man achten sollte, wenn man seinem Hund Schmerzen und Behandlungen ersparen möchte.
Graf Barf: Was kann man als Hundefreund richtig machen, um die Knochen und Gelenke eines Hundes gesund zu halten?
Dr. Susanne Wisniewski: Aus meiner langjährigen Erfahrung kann ich sagen: eine ganze Menge. Der Bewegungsapparat eines Hundes ist eine funktionale Einheit aus Knochen, Gelenken, Sehnen und Bändern, die man immer als Ganzes sehen muss. Man kann das, was man als Hundebesitzer für einen gesunden, vitalen, schmerzfreien Hund in Bezug auf seinen Bewegungsapparat tun kann, in drei Phasen einteilen:
- Korrekt angelegten Bewegungsapparat absichern, also die genetischen Voraussetzungen des Hundes im Blick haben.
- Korrekt entwickelten Bewegungsapparat fördern: Während des Wachstums betrifft das die Bereiche Entwicklung, Belastung und Ernährung des Welpen bzw. Junghundes, basierend auf der genetischen Veranlagung.
- Lebenslanges In-Form-halten des Bewegungsapparates durch ausreichendes Training, Kräftigung, Ernährung, aber auch durch die Vermeidung von Überbelastung.
Graf Barf: Dann starten wir doch mit der genetischen Veranlagung. Was kann ich als Welpenkäufer tun, auf was kann ich achten?
Dr. Susanne Wisniewski: Beim Aussuchen eines Welpen sollte man ein großes Augenmerk auf die Veranlagung zu Fehlentwicklungen des Bewegungsapparates haben bzw. die Wahrscheinlichkeit, dass der Hund eine gute erbliche Disposition seines Bewegungsapparates hat, absichern. Die wichtigste Frage dabei: Sind die Elterntiere gesund, sind Hüften und Ellenbogen korrekt ausgebildet? Übrigens gilt das nicht nur für Rassehunde, sondern auch für Mischlinge, die nicht automatisch gesünder und weniger anfällig für chronische Erkrankungen des Bewegungsapparates sind! Kontrollierte Zuchtverbände, wie insbesondere der VDH und FCI, sichern durch ihre Kontrollen bei ihren Züchtern einen Mindeststandard ab, wie die Elterntiere veranlagt sind. So sollte der Hundekäufer einen Züchter wohlbedacht auswählen. Wichtig ist dabei, die Gesundheit der Elterntiere als Hundekäufer zu kennen. Hinzu kommen natürlich Rassedispositionen, die man mit beachten sollte. Einige Hunderassen neigen eher zu bestimmten Erkrankungen, wie beispielsweise HD (Hüftdysplasie) oder ED (Ellenbogendysplasie), aber auch Wirbelsäulen- oder Kniegelenksfehlentwicklungen.
Graf Barf: Nun hat man mit Bedacht seinen Züchter und Welpen ausgewählt oder sich einen jungen Hund angeschafft. Was kann man tun, wenn der Welpe oder Junghund eingezogen ist? Häufig bekommt man von Züchtern schon eine ganze Reihe von Tipps mit auf den Weg. Beispielsweise: Der Welpe darf bis zum ersten Lebensjahr keine Treppen steigen und soll getragen werden.
Dr. Susanne Wisniewski: Im Vergleich zu uns Menschen wächst ein Hund – gerade bei großen Rassen – sehr schnell. Manche Rassen haben bereits nach sechs Monaten ihr Endgewicht erreicht. Deshalb ist es wichtig, in der Wachstumsphase den Hund in keinem Fall überzubelasten, um bestimmten genetisch bedingten Erkrankungen des Bewegungsapparates vorzubeugen. Die Natur hat das sogar so eingerichtet, denn ein Welpe schläft in seinen ersten Lebensmonaten viel. Auch der Hundewelpe muss für eine ausgewogene Entwicklung (sowohl körperlich als auch mental!) ausreichend lange Ruhephasen einhalten. Man sagt, bis zu 20 Stunden am Tag!
Schaut man sich Wolfswelpen an, die Vorfahren unserer Hunde, sieht man, dass diese die ersten 8 bis 12 Wochen ihres Lebens vor der Höhle ein bisschen miteinander spielen. Mehr nicht. Sie machen auf keinen Fall Streifzüge durch die Natur. Erst mit 16 bis 20 Wochen begleiten sie langsam ihre Mutter. Das bedeutet auch für einen Hundewelpen, dass er für eine gesunde Entwicklung viel Ruhe braucht. Sein noch nicht ausgereifter, im Wachstum befindlicher Bewegungsapparat darf nicht überlastet werden.
Es gibt eine gute Faustformel: Pro Lebensmonat darf der Welpe 5 Minuten 3x am Tag Gassi gehen bzw. mit Körpereinsatz spielen oder tollen, aber maximal 40 Minuten – bis der Hund ausgewachsen ist.
Das bedeutet für einen Welpen mit 3 Monaten => 15 Minuten am Stück Spazierengehen oder auch Training bzw. Welpenschule.
Graf Barf: Viele Hundebesitzer denken – gerade, wenn der Welpe etwas anstellt –, er ist unausgelastet und denkt sich Blödsinn aus. Stimmt das?
Dr. Susanne Wisniewski: Das denken viele Menschen. Ist aber gar nicht so. Häufig finden Welpen im Haushalt gar nicht so viel Ruhe, wie sie eigentlich bräuchten. Ich rate immer dazu, eine Hundebox für den Welpen zu haben als sicheren Ruhe- und Rückzugsort – man könnte auch Höhle sagen. In der Box ist der Welpe ruhig und kann schlafen. So kann man viel gezielter die Beschäftigung steuern. Toller Nebeneffekt: Man ist nicht der, der immer schimpfend hinterherläuft, der Verbieter und Nein-Sager, sondern man ist für den Hund der, mit dem etwas Großartiges passiert! Und: Der Welpe wird schneller stubenrein. Man baut also eine positive Hund-Mensch-Beziehung auf. Gerade wenn man mehrere Hunde hat, ist eine Hundebox fast ein Muss. Allerdings muss man das natürlich langsam mit der Box trainieren, damit der Welpe keine Angst hat, allein darin zu sein! Dass er die Box einfach gerne mag.
Zum Thema Treppensteigen: Für kleine Hunde und Welpen sind Treppen natürlich je nach Höhe und Beschaffenheit gefährlich. Aber auch das Treppensteigen will als Junghund gelernt sein. Der junge Hund muss dieses koordinierte Laufen früh fürs Leben lernen – nicht erst mit einem Jahr. Gezieltes Training ist gleichfalls für den Muskelaufbau wichtig. Alles in Maßen also!
Und – das wird gerne unterschätzt: Bereits jetzt soll der Welpe nach und nach das ordentliche Laufen an der Leine lernen! Ziehen an der Leine stellt eine Mega-Belastung für den Bewegungsapparat des Hundes ein Leben lang dar. Auch mit Geschirr. Der Hund läuft dabei schief und belastet Knie, Rücken, Halswirbelsäule und Gelenke ungleichmäßig. Das kann zu Folgeschäden führen. Auch wenn der Hund in vielen Hundeschulen klassisch links laufen soll, rate ich davon ab. Man sollte beide Seiten möglichst gleich belasten. Meine Junghündin „Hope“ lernt daher, auf beiden Seiten abwechselnd ordentlich mit durchhängender Leine zu laufen.
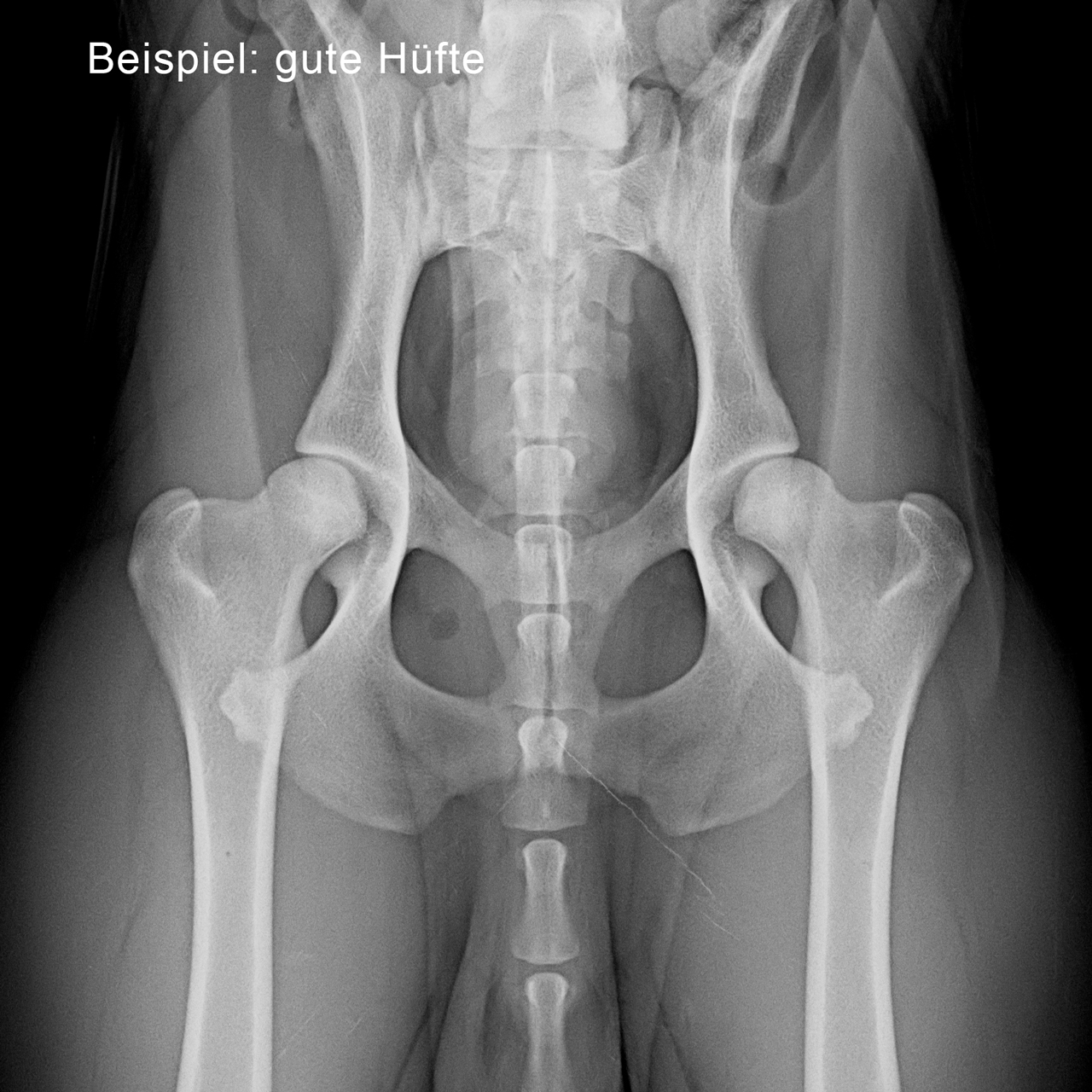
Graf Barf: Viele Züchter möchten für ihre Zuchtstatistik Röntgenaufnahmen des Welpen von Hüfte und Ellenbogen. Macht es generell Sinn, Junghunde röntgen zu lassen, um zu überprüfen, ob alles in Ordnung ist?
Dr. Susanne Wisniewski: Das stimmt, für die Ahnenstatistik und das Zuchtbuch der Züchter sollen alle Nachkommen überprüft werden, ob insbesondere Hüfte und Ellenbogen eine genetisch gesunde Disposition haben. Das ist gleichzeitig für die zukünftigen Welpenkäufer wieder ein sehr wichtiger Indikator. Dies geschieht dann, wenn der Hund ca. ein Jahr alt und ausgewachsen ist.
Hundebesitzern, die bereits schlechte Erfahrungen, z.B. mit schlechten Hüften oder Ellenbogen, gemacht haben – insbesondere bei großen Rassen mit Rassedispositionen –, kann man durchaus raten, ihren Welpen mit 5½ bis 6 Monaten einem orthopädisch geschulten Tierarzt vorzustellen. Der Tierarzt prüft das Gangbild und die Gebissstellung des Hundes und kann evtl. eine Röntgenaufnahme machen. Denn die Qualität der Hüfte kann jetzt bereits sehr gut beurteilt werden, und man kann unter Umständen im Ernstfall schon gezielt reagieren und helfen.
Graf Barf: Auf was sollte man bei der Ernährung achten?
Dr. Susanne Wisniewski: Die Ernährung ist für die Gesundheit und Entwicklung des Bewegungsapparates eines heranwachsenden Hundes von äußerst großer Bedeutung. So sind der Kaloriengehalt, der Proteingehalt und das Phosphor-Calcium-Verhältnis zu beachten. Man sollte sich für ein Futter entscheiden, das die entsprechende Zusammensetzung für einen Welpen bzw. Junghund bietet.
Das könnte Sie auch interessieren:
Was steckt hinter dem richtigen Calcium-Phosphor-Verhältnis bei der Barf-Hundeernährung?
Unser Juniormenü für heranwachsende Hunde ab der 14. Woche
Graf Barf: Kommen wir zur dritten Phase: lebenslanges In-Form-halten. Und was kann ich für meinen Senior und seinen Bewegungsapparat tun?
Dr. Susanne Wisniewski:
So banal das klingt: Gerade bei Hunden, die zu Arthrose neigen, und
nicht nur die, ist ein niedriges Körpergewicht ganz entscheidend. Man
muss es einfach vermeiden, den Bewegungsapparat mit zu viel Gewicht zu
belasten! Ein hochwertiges Futter ist auch hier wichtig. Das wissen die
Barfer sicherlich: Die Barf-Ernährung macht es leichter, den
Hund nicht übergewichtig werden zu lassen.
Bestimmte Inhaltsstoffe wirken entzündungshemmend. Insbesondere Omega-3-Fettsäuren sind hier zu nennen. Grünmuschellippenextrakte von guter Qualität fördern Regenerationsprozesse und unterstützen übrigens auch die Knorpelbildung beim heranwachsenden Hund.
Graf Barf: Omega-3-Fettsäuren sind auch in frischem Fisch und in unserem Spezial-Öl enthalten. Sieht man eigentlich sofort, wenn ein Hund Gelenkprobleme hat, oder nur dann, wenn er bereits lahmt?
Dr. Susanne Wisniewski: Es gibt schon ein paar Anzeichen, die viele Hundehalter nicht gleich auf Anhieb erkennen, wie im Extremfall das Lahmen. Ganz klassisch ist es beispielsweise, wenn wir einen Hundebesitzer beim Routinebesuch mit einem älteren Hund fragen, wie es mit ihm oder ihr so geht, werden wir hellhörig, wenn der Besitzer sagt: „Na, er wird halt älter, ist nicht mehr so fröhlich und weniger aktiv.“ Denn diese Verhaltensänderungen können häufig ein Hinweis auf chronische Schmerzen sein. Dem sollte man dann nachgehen, denn der Hund kann sich zu Schmerzen einfach nicht so äußern wie wir. Man kann versuchsweise diesem Hund ein Schmerzmittel geben. Wird er wieder aktiver, ist man auf dem richtigen Weg. Chronische Schmerzen setzen einen Teufelskreis in Gang: Schmerzen (ob Rücken, Knie, Lenden, Zehen…) führen zu weniger Bewegung, also zu weniger Training, einer Schonhaltung und weniger Belastung, zu Muskelabbau, zu einer Verschlechterung, zu mehr Schmerzen…
Gezielt sollte man die Ursachen erforschen und behandeln. Eine gute Schmerztherapie, gezieltes Training zum Muskelaufbau und ergänzend evtl. eine professionelle Physiotherapie auf Grundlage einer korrekten tierärztlichen Diagnose können dem Hund helfen, schmerzfrei und wieder fitter zu werden. Ich finde, kein Hund darf unter Schmerzen leiden.
Schwimmen ist ein
sehr gutes Training für ältere Hunde mit Problemen des
Bewegungsapparats. Besser sogar noch mit einer Schwimmweste, weil dann
der Hund gerade und ruhiger schwimmt – quasi rückenschonend.

Graf Barf: Gibt es denn Rassen, die eine höhere Disposition zu Problemen mit dem Bewegungsapparat haben, oder welche mit besseren Voraussetzungen?
Dr. Susanne Wisniewski: Leider ja. Typische Rassen mit Veranlagungen sind z.B. Retriever, Schweizer Sennenhunde, Bulldoggen, Möpse. Eine wesentlich geringere Veranlagung haben beispielsweise Pudel, die Terrier-Rassen wie Irish Terrier oder auch Beagle. Generell sind sehr große, schwere Hunderassen betroffen. Hunde mit 12 bis 20 kg Körpergewicht neigen weniger zu Problemen mit dem Bewegungsapparat.
Graf Barf: Ein wichtiges und umfangreiches Thema! Vielen Dank für die vielen Tipps und Hintergründe.

Kommentare (0)